3.8

CiteScore

2.4

Impact Factor
  • ISSN 1674-8301
  • CN 32-1810/R
Yinhe Feng, Yubin Wang, Xiaolong Li, Hui Mao. Anticoagulation therapy for pulmonary embolism involving a myxoma mimicking, giant type C thrombus: A case report[J]. Journal of Biomedical Research, 2023, 37(2): 148-152. DOI: 10.7555/JBR.36.20220118
Citation: Yinhe Feng, Yubin Wang, Xiaolong Li, Hui Mao. Anticoagulation therapy for pulmonary embolism involving a myxoma mimicking, giant type C thrombus: A case report[J]. Journal of Biomedical Research, 2023, 37(2): 148-152. DOI: 10.7555/JBR.36.20220118

Anticoagulation therapy for pulmonary embolism involving a myxoma mimicking, giant type C thrombus: A case report

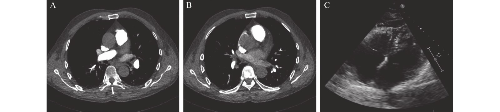
  • Right heart thrombus (RHTh) with concurrent acute pulmonary embolism (PE) is rare and can seriously destabilize hemodynamics, leading to an emergency situation with high mortality. Diagnosis and treatment of RHTh with acute PE are not yet standardized. There are few reports of acute PE concurrent with RHTh and even less is known about patients with a right heart mural thrombus. For physicians, the diagnostic choice and treatment of these patients are particularly difficult due to the lack of knowledge. Here, we report a rare case of partial mural RHTh (type C RHTh) with acute PE. The mural mass in the right heart was initially diagnosed as atrial myxoma according to transthoracic echocardiography (TTE), and both pulmonary embolus and the mural mass were completely absorbed after administering Rivaroxiban. This case suggests that TTE alone is insufficient to identify and diagnoses a right heart mural mass such as this. However, novel oral anticoagulants may be effective at alleviating PE with type C RHTh.
  • loading

Catalog

    /

    DownLoad:  Full-Size Img  PowerPoint
    Return
    Return