3.8

CiteScore

2.4

Impact Factor
  • ISSN 1674-8301
  • CN 32-1810/R
Sung-Hyun Hwang, Yeseul Yang, Yeji Jeong, Yongbaek Kim. Ovalicin attenuates atopic dermatitis symptoms by inhibiting IL-31 signaling and intracellular calcium influx[J]. Journal of Biomedical Research, 2021, 35(6): 448-458. DOI: 10.7555/JBR.35.20210012
Citation: Sung-Hyun Hwang, Yeseul Yang, Yeji Jeong, Yongbaek Kim. Ovalicin attenuates atopic dermatitis symptoms by inhibiting IL-31 signaling and intracellular calcium influx[J]. Journal of Biomedical Research, 2021, 35(6): 448-458. DOI: 10.7555/JBR.35.20210012

Ovalicin attenuates atopic dermatitis symptoms by inhibiting IL-31 signaling and intracellular calcium influx

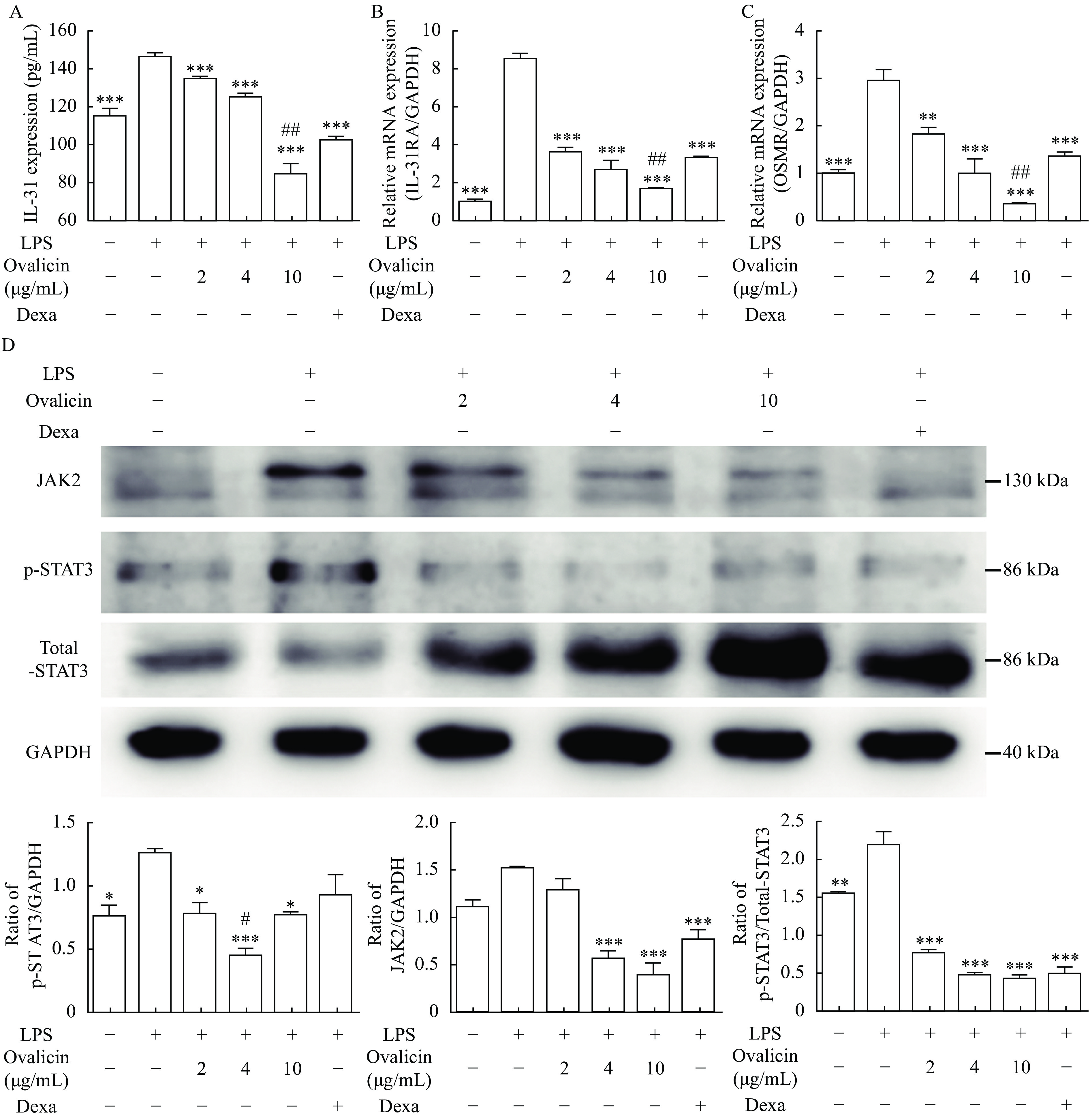
  • Atopic dermatitis (AD) is a common skin disorder difficult to be treated with medication. This study investigated the potential of ovalicin extracted from Cordyceps militaris for the treatment of AD using in vitro and in vivo models. We found that, in canine macrophage cell line DH82, lipopolysaccharide (LPS) upregulated the expression of genes associated with inflammation and pruritic responses through activating calcium and interleukin-31 (IL-31) signaling, and the upregulation could be suppressed by ovalicin, with an effect significantly stronger than dexamethasone. Ovalicin also reduced the expression of IL-31 downstream genes, including JAK2 (Janus kinase 2), TRPV1 (transient receptor potential vanilloid receptor-1), and HRH2 (histamine receptor H2). Ovalicin significantly alleviated the allergic symptoms in the AD mouse model. Histologically, the number of macrophages and mast cells infiltrated in the dermis was significantly reduced by ovalicin treatment. In the skin tissue of AD mice, reduction of IL-31 receptor was observed in the ovalicin treated group compared to the group without ovalicin treatment. To our knowledge, this is the first study to elucidate the anti-atopic mechanism of ovalicin, which could be an alternative to steroidal drugs commonly used for AD treatment.
  • loading

Catalog

    /

    DownLoad:  Full-Size Img  PowerPoint
    Return
    Return